
Etapele Reabilitării Complete cu Dantură Fixă pe Implanturi
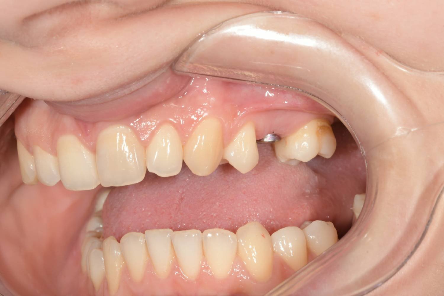
Pierderea totală sau cvasitotală a dinților pe o arcadă poate fi devastatoare pentru calitatea vieții. Din fericire, tehnologia modernă în implantologia dentară oferă soluții remarcabile,
Dr. Alexandru Vilculescu, medic specialist în reabilitări complexe pe implanturi dentare, parte a echipei Clinicii Alma Dent Sibiu. Vă oferim soluții personalizate și de ultimă generație pentru un zâmbet sănătos și funcțional pe termen lung.
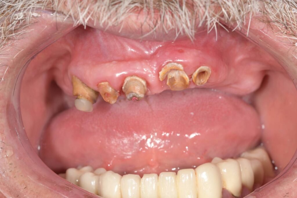
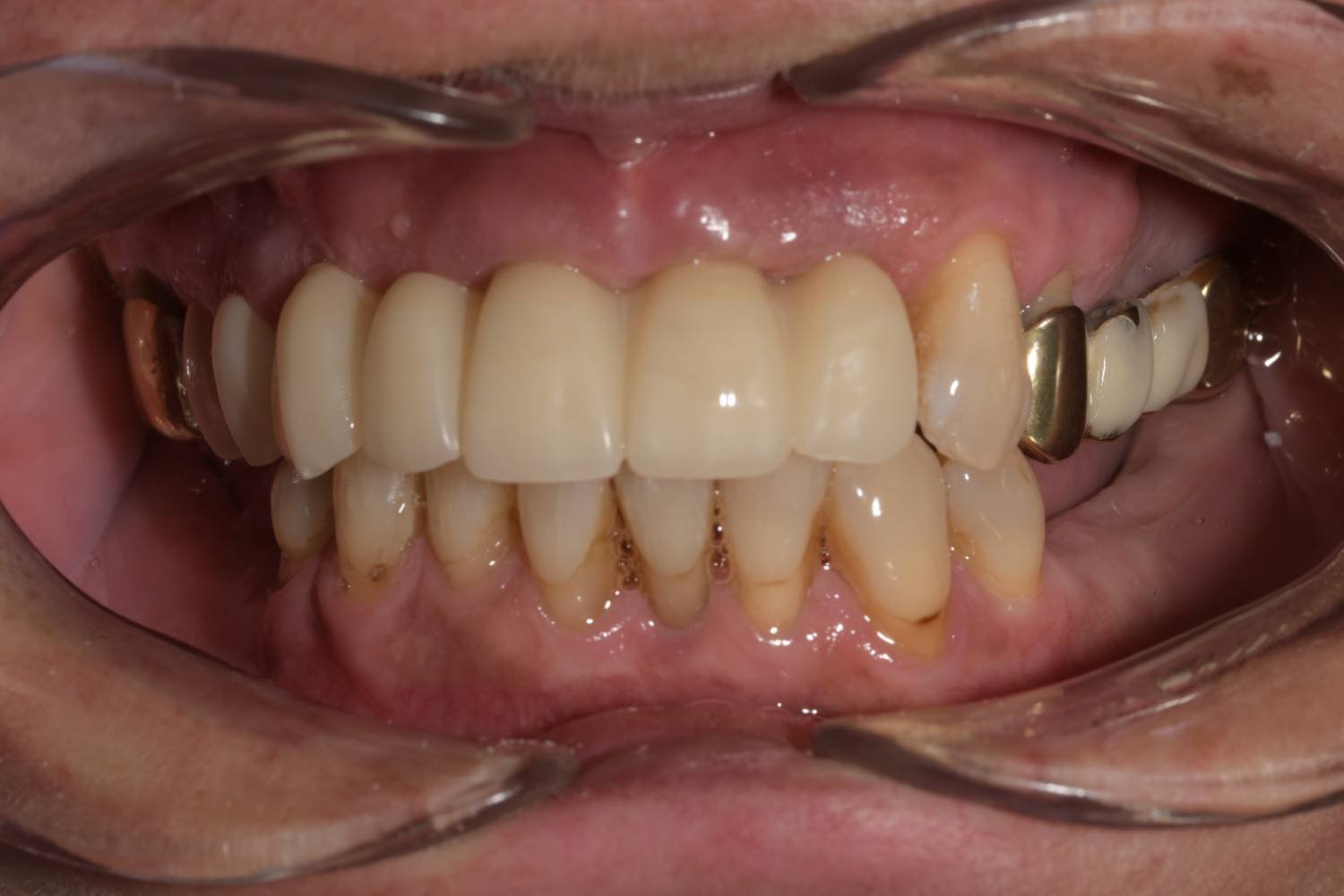
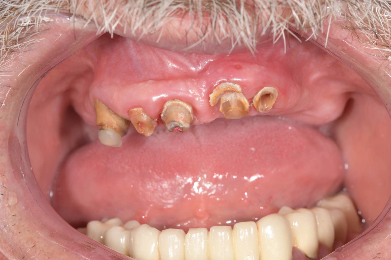
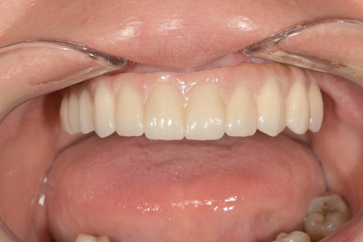
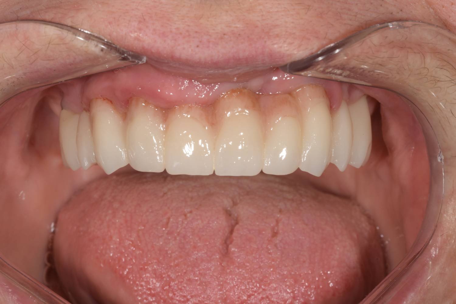
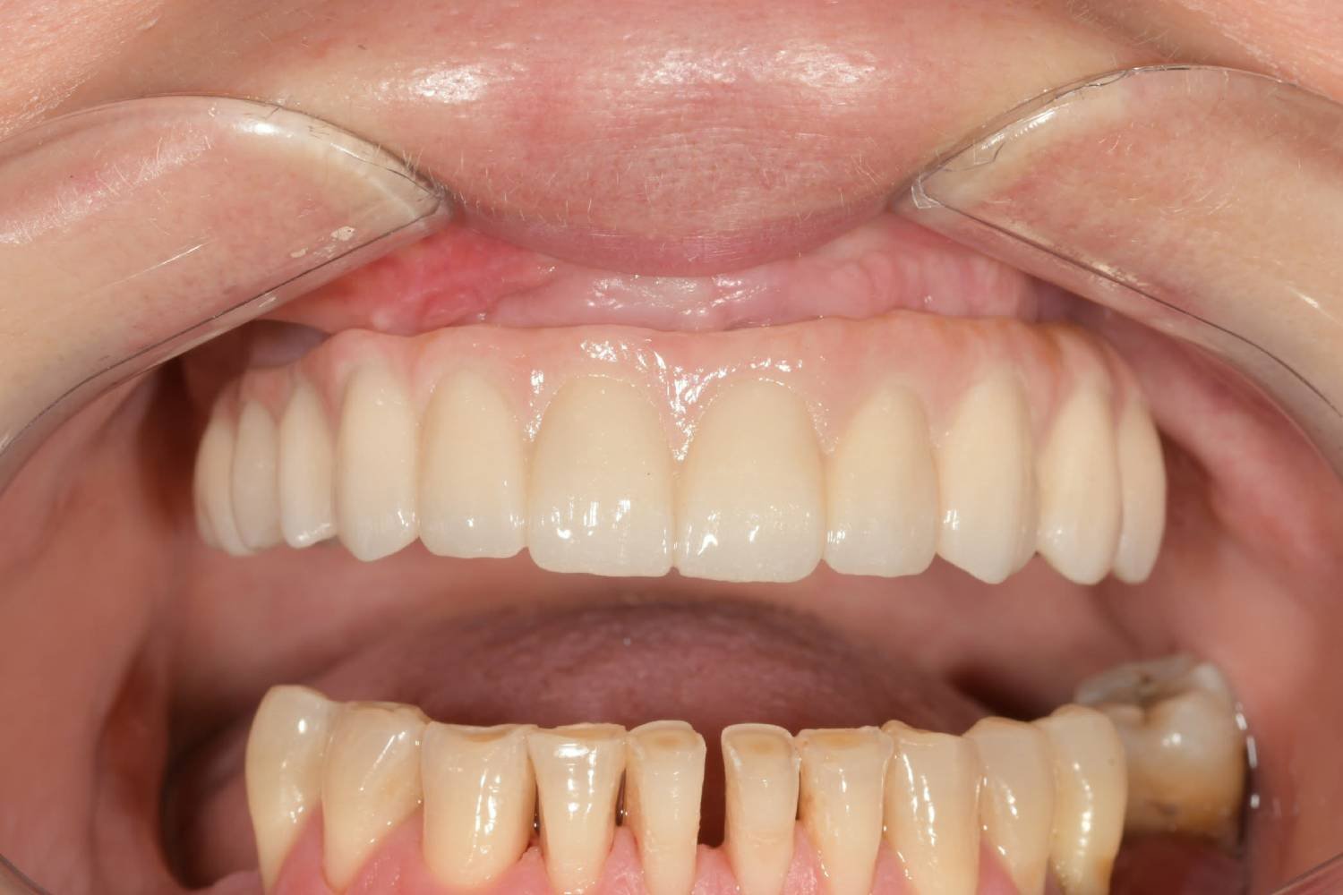
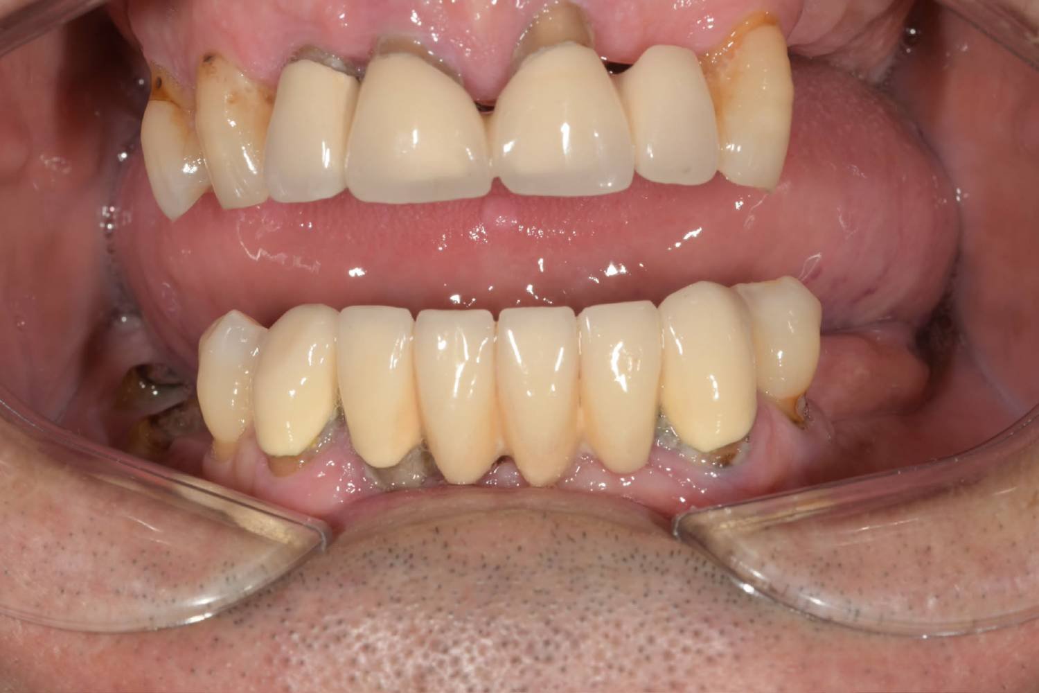
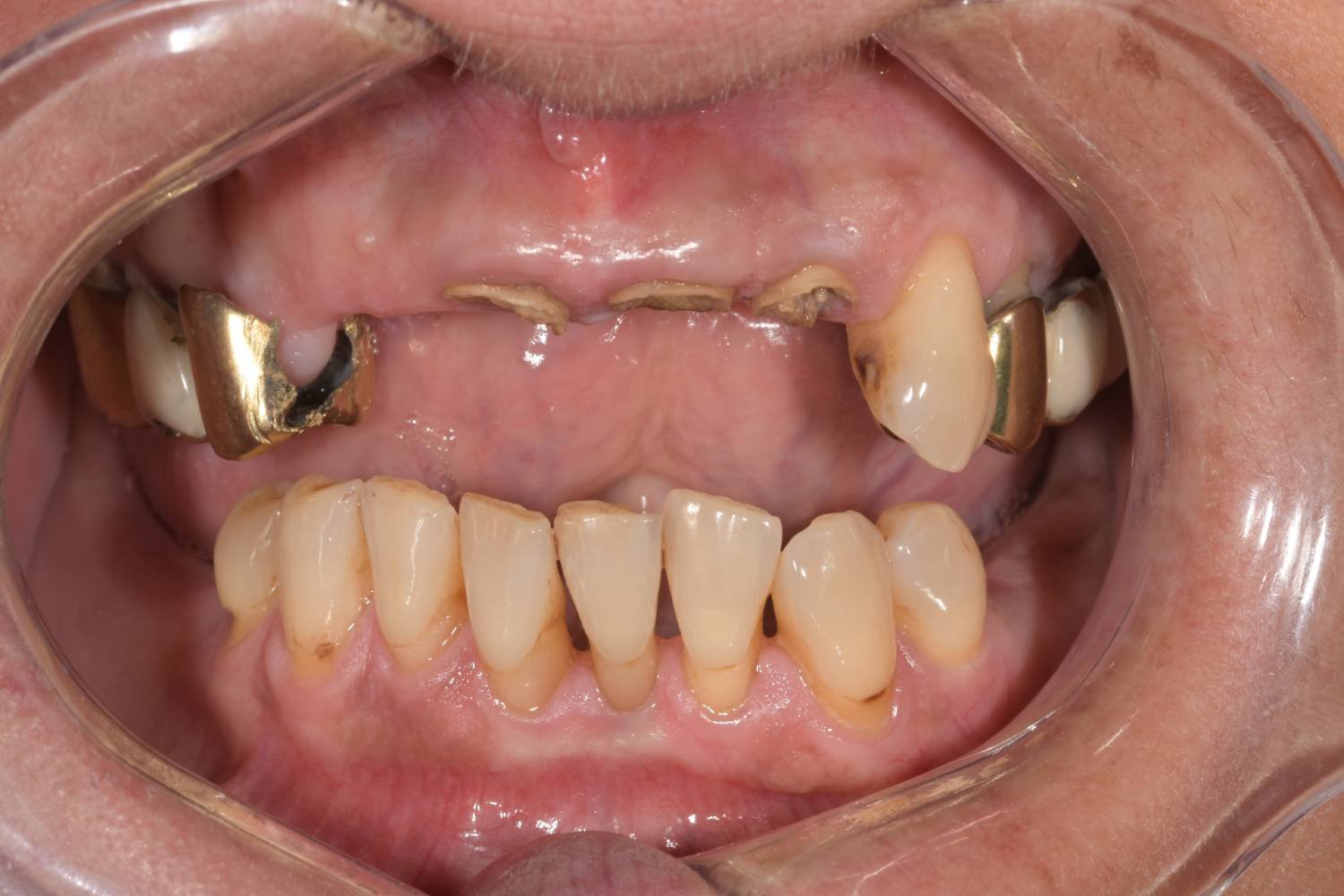
În această galerie, veți vedea cazuri concrete tratate cu implanturi dentare, evidențiind diferențele semnificative înainte și după intervenție. Fiecare imagine reflectă angajamentul nostru pentru estetică, funcționalitate și confort.
Pierderea dinților poate afecta nu doar estetica, ci și funcționalitatea și sănătatea orală pe termen lung. Implanturile dentare oferă o soluție completă și durabilă.

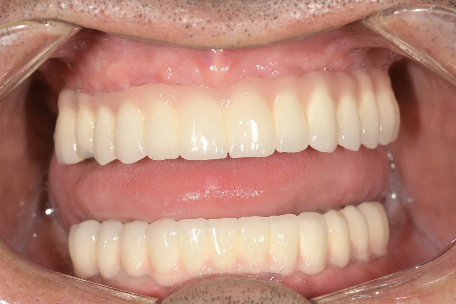
Arată și se simt ca dinții dumneavoastră naturali, integrându-se perfect în zâmbet.

Vă permit să mâncați, să vorbiți și să râdeți cu încredere, fără limitări.

Cu o rată mare de succes și o îngrijire adecvată, implanturile pot dura o viață.
Oferim o gamă completă de servicii pentru a răspunde oricărei nevoi, de la înlocuirea unui singur dinte la reabilitări orale complexe.

Soluția standard, durabilă și estetică pentru a înlocui rădăcinile dinților pierduți și a fixa coroane sau punți fixe.

Reabilitarea totală a arcadelor dentare cu dinți ficși provizorii în doar 24 de ore, utilizând tehnici moderne.
Evaluare amănunțită, CBCT, scanare 3D.
Proceduri preliminare dacă e necesar (extracții, adiții osoase).
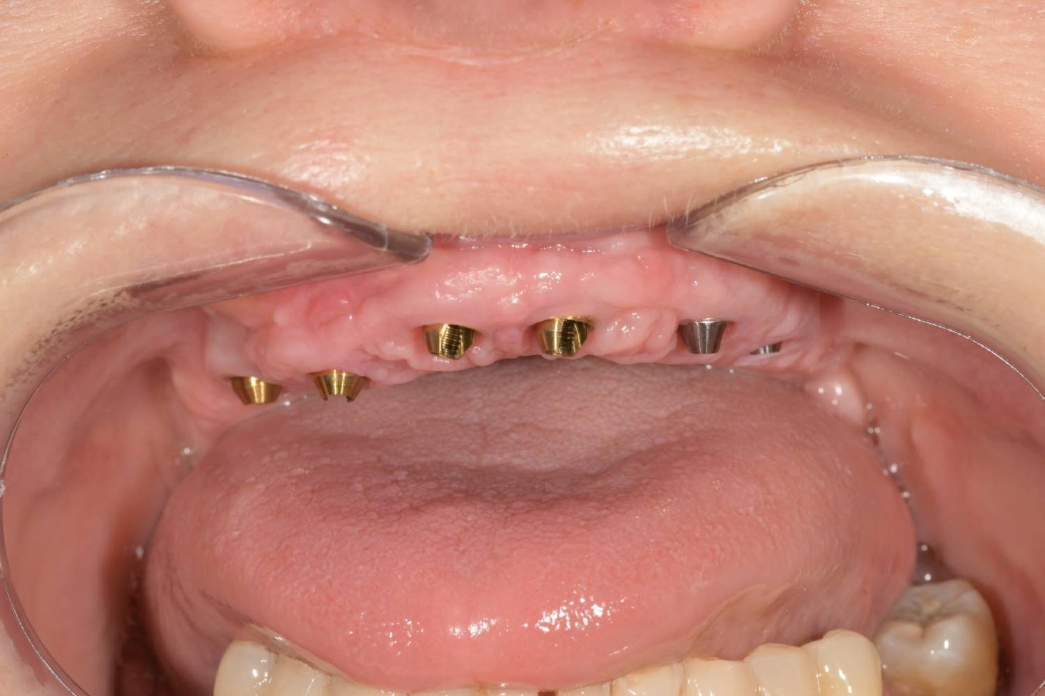
Procedură chirurgicală minim invazivă.
Osteointegrarea implantului în os.
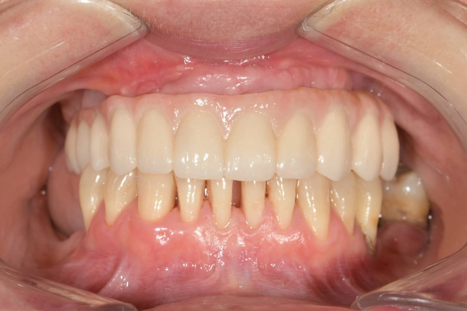
Realizarea și fixarea lucrării dentare finale.
Vizite regulate pentru sănătate pe termen lung.
Vedeți transformările spectaculoase obținute prin tratamente complexe de implantologie dentară realizate de Dr. Alexandru Vilculescu. Descoperiți cum redăm pacienților funcționalitatea și estetica zâmbetului.




Costul unui tratament cu implanturi dentare este personalizat în funcție de complexitatea fiecărui caz. Ne dorim să fim transparenți și vă oferim informații orientative despre prețuri și opțiunile de plată disponibile la Clinica Alma Dent Sibiu. O estimare exactă se realizează doar după consultație.
Reabilitare Totală – Dantură fixă 24h (include manoperă chirurgicală, 4 implanturi, 4 bonturi protetice și lucrarea provizorie fixată prin înșurubare)
Reabilitare Totală – Dantură fixă 24h (include manoperă chirurgicală, 6 implanturi, 6 bonturi protetice și lucrarea provizorie fixată prin înșurubare)
Găsești aici informații valoroase, sfaturi practice și noutăți din domeniul stomatologiei, cu un accent pe implantologie, pentru a te ajuta să iei cele mai bune decizii pentru sănătatea zâmbetului tău.

Pierderea totală sau cvasitotală a dinților pe o arcadă poate fi devastatoare pentru calitatea vieții. Din fericire, tehnologia modernă în implantologia dentară oferă soluții remarcabile,

Decizia de a înlocui un dinte lipsă cu un implant dentar este primul pas către recăpătarea unui zâmbet complet și funcțional. Procesul tratamentului cu implanturi

Unul dintre primele lucruri pe care și le întreabă pacienții interesați de înlocuirea dinților lipsă cu implanturi este „Cât costă un implant dentar?”. Este o
Completează formularul de mai jos si vei fi contactat în cel mai scurt timp pentru o programare.